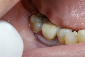
Τα εμφυτεύματα είναι μεταλλικά κουμπιά που τις περισσότερες φορές κατασκευάζονται από τιτάνιο και τοποθετούνται χειρουργικά στη γνάθο. Με τα εμφυτεύματα μπορούμε να αντικαταστήσουμε ένα, περισσότερα ή όλα τα δόντια στο στόμα.
Τα οδοντικά εμφυτεύματα είναι πολύ επιτυχής τρόπος για την αντικατάσταση των δοντιών, λόγω της ενσωμάτωσής τους στα οστά. Έτσι αποκτούμε μια πολύ σταθερή βάση για το τεχνητό δόντι, το οποίο επιτρέπει κανονική ομιλία και μάσηση.
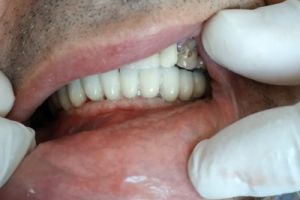
Τα εμφυτεύματα με τεχνητά δόντια φαίνονται ολόιδια με τα φυσικά δόντια. Τα εμφυτεύματα με τεχνητά δόντια, τις περισσότερες φορές φαίνονται καλύτερα και από τα πρωτότυπα φυσικά δόντια.
Με την πάροδο της ηλικίας, λόγω της απώλειας της οστέινης μάζας της γνάθου τα χείλη γίνονται λεπτότερα και στενά και η κορυφή του πηγουνιού αλλάζει θέση. Τα εμφυτεύματα προστατεύουν την οστέινη μάζα, μεταφέρουν την πίεση από τη μάσηση στη γνάθο και έτσι συμβάλλουν στην διατήρηση του σχήματος του προσώπου. Η διαδικασία της εμφύτευσης ενός δοντιού είναι αρκετά απλή.
Τα εμφυτεύματα είναι μια καλή επιλογή για αντικατάσταση των χαμένων δοντιών σε όλους τους ενήλικες ασθενείς, των οποίων η υγεία βρίσκεται σε καλή κατάσταση. Η γνάθος θα πρέπει να έχει αρκετή πυκνότητα για την αποδοχή του εμφυτεύματος. Είναι σημαντικό να μην υπάρχουν ασθένειες (όπως ανεξέλεγκτος διαβήτης), που θα εμποδίσουν την ανάρρωση μετά την επέμβαση.
Ο χρόνος που απαιτείται για την τοποθέτηση εμφυτεύματος για ένα μόνο δόντι, χωρίς πρόσθεση οστού, δεν διαρκεί περισσότερο από 20 έως 40 λεπτά.